Aparaty stałe

Zamki Damon Q

Zamki Damon Q nie wymagają stosowania ligatur co pozwala na stosowanie niskich sił, optymalnych dla przesuwania zębów, następuje wydłużenie odstępów między wizytami a tym samym zmniejsza się ilość wizyt.

zamki na zębach
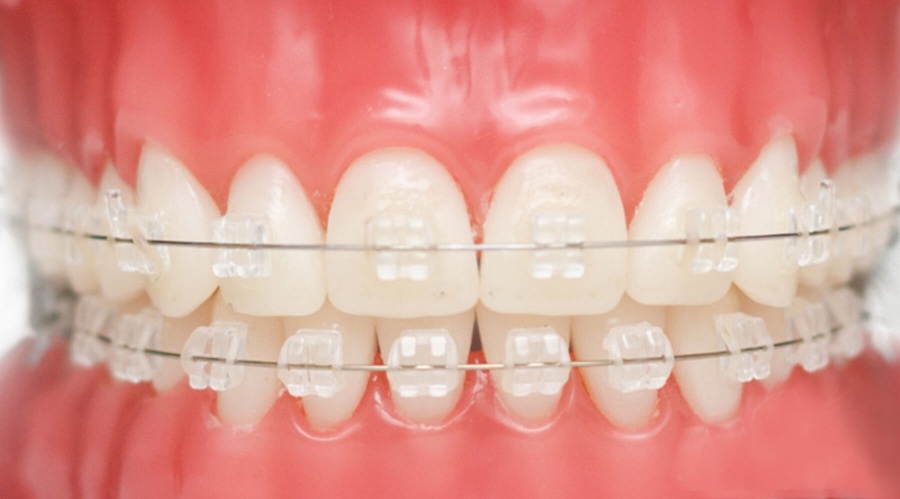
zdjęcie zamków kryształowych

Zamki kosmetyczne (kryształowe lub porcelanowe)

Aparaty ortodontyczne nie muszą być widoczne, mogą być tak dyskretne, że nie będą zauważalne przez druga osobę.

Aparaty retencyjne

Po zdjęciu aparatu stałego konieczne jest podtrzymywanie wyników leczenia.

Stałe aparaty retencyjne klei się tylko w odcinku przednim dlatego zazwyczaj jest to reteiner dodatkowy

aparat retencyjny zdjęcie

Najczęściej zadawane pytania

Tak, pacjenci noszący aparat stały muszą ściśle przestrzegać zaleconej diety i bardzo dokładnie myć zęby po każdym nawet najmniejszym posiłku. Mycie zębów jest mocno utrudnione przez naklejone do zębów elementy. Przy braku idealnej higieny wokół elementów aparatu po ich zdjęciu mogą zostać trwałe, widoczne odwapnienia na szkliwie. W trakcie leczenia często jest zalecone noszenie wyciągów elastycznych (gumek) między haczykami na z zębach, wyciągi te musi pacjent sam zakładać i robić to zgodnie z zaleceniami lekarza

Tak, Pacjent noszący aparat stały nie mogą gryźć twardych pokarmów aby nie doszło do odklejenia elementów aparatu (zamki/rurki). Należy wystrzegać się pokarmów słodkich zwłaszcza takich które przyklejają się mocno do zębów, nosząc aparat stały nie można też żuć gumy do żucia. Czasami konieczne jest wykonanie rozklinowania na zębach bocznych co uniemożliwia odgryzanie pokarmów z powodu powstałej szpary między przednimi zębami górnymi i dolnymi. Ponadto, co bardzo ważne, należy zawsz jeść bardzo ostrożnie, zawsze na siedząco, nigdy na leżąco na wypadek, gdyby doszło do odklejenia ostatniego zamka w łuku. Zamek taki może wtedy zsunąć się z łuku i może dojść do jego połknięcia a nawet zaaspirowania go do górnych dróg oddechowych!

Tak, może się zdarzyć sytuacja kiedy zamek albo rurka odkleją się od zęba. Może wystawać z rurki drut, może odgiąć się ligatura co powoduje zranienie tkanek miękkich i ranę np. w błonie śluzowej policzka. Naklejone do zębów zamki mogą być też przyczyną rozrostu dziąseł zwłaszcza przy niedostatecznej higienie.

Zazwyczaj  Pacjent powinien się zgłaszać na wizyty co 4 tygodnie. Istnieje możliwość objęcia Pacjenta opieką DM – wtedy  wizyty s wyznaczane rzadziej, mamy z systemu informację czy łuki są jeszcze aktywne oraz informację o możliwości wystąpienia awarii zanim ona się wydarzy np. wcześniej zauważamy kontakt górnego zęba z dolnym zamkiem zanim ten zamek się odklei i inne niepożądane efekty takie jak wysunięty drut z rurki, rana na policzku, niedostateczna higiena.

Scroll to Top